티스토리 뷰
목차
폐암이란?? 폐에서 발생하는 악성 종양이면서, 주로 담배연기나 공기 오염등이 원인입니다. 초미세먼지는 대기 중에 떠다니는 작은 먼지 입자로, 자동차 배기가스나 공장 등에서 발생한 대기 오염물질이 대표적인 원인이 됩니다.


1) 폐암의 원인
주로 흡연으로 폐암이 발생합니다. 흡연자는 비흡연자에 비해서 폐암에 걸릴 위험이 15배에서 80배까지 증가하는 것으로 알려져 있고, 대기 오염 등의 환경요인도 폐암 발병과 관련이 있습니다. 폐암 초기 증상으로는 흔한 기침에서 시작이 되기도 하지만, 가래가 끓는 기침이 특징입니다. 그렇다고 가래 기침하는 사람이 폐암일 수 는 없습니다. 일반 호흡기 질환에서 기침가래는 흔한 증상이기 때문에 폐암 초기에는 증상이 거의 없어서, 진단이 쉽지 않습니다. 폐암 환자의 경우 15%정도가 무증상일 때 검진 겸 병원 내원하면서 발견되는 경우가 종종 있습니다.



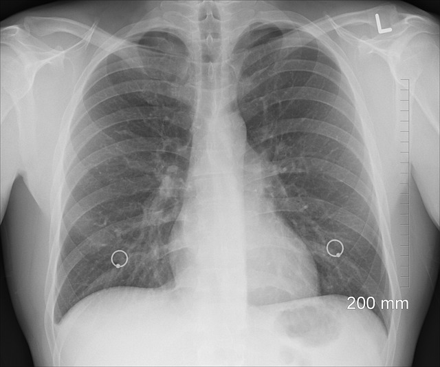
2) 폐암 진단방법
폐암 진단을 위해서 폐암초기 증상이 나타난다면 가벼운 증상이라도 병원을 찾아 진단을 받는 것이 중요합니다. 영상 검사와 생검 검사 두가지로 나뉘는데, 폐암의 위치와 크기에 따라서 파악하는데 사용되는 기본적인 X선검사, CT검사, PET검사 등이 있습니다. 폐조직을 직접 채취하여 병리학적으로 확인하는 방법으로, 폐암 진단에 따라서 가장 정확한 방법으로는 생검 검사를 추천드립니다.
"국가암정보센터" 바로가기 https://www.cancer.go.kr/
국가암정보센터
국가암정보센터
www.cancer.go.kr


3) 폐암 단계
폐암 단계는 1~4단계로 나뉘고, 1단계는 폐암이 가장 초기에 발견된 경우이고, 4단계는 폐암이 다른 장기로 확산이 된 경우를 의미합니다.검사방법과 검사를 실시 하는 병원에 따라 다르지만, 국민건강보험에서는 폐암 검사를 대상으로 하는 경우에는 일부 검사비용을 보장해주고 있습니다. 그러나 보장되는 검사비용이 있더라도 병원마다 차이가 있기 때문에 검사를 진행하는 병원에서 직접 검사비용을 확인 후 검사를 실시하는 것이 좋습니다.
4) 폐암 치료방법
환자의 나이와 환자의 상태에 따라 치료방법은 다르고, 수술, 방사선 치료, 항암제 치료등이 있습니다. 수술로 폐암이 발견된 부위를 제거합니다.
[방사선치료]의 경우 방사선을 이용해서 암세포를 피괴하는 치료를 합니다. 일반적으로 폐암 방사선 치료는 4주~6주간 진행됩니다.
[항암제치료]도 항암제를 이용하여 암세포를 파괴하는 치료인데, 환자분들이 가장 힘들어 하는 치료라고 알려져 있습니다. 치료기간으로는 3개월 에서 길게는 6개월까지 진행이 됩니다.
5) 폐암 예방법
- 금연 : 담배를 피우지 않는 것이 가장 좋습니다
- 실내공기개선 : 공기청정기를 이용하여 실내공기를 개선하고 미세먼지와 유해물질 차단을 줄이는 것이 좋습니다.
- 건겅한 식습관 : 체중조절은 필수이고, 건강한 식습관을 유지해 가는 것이 가장 중요합니다.
- 규칙적인 운동 : 체력을 기르고, 생활 습관으로 운동은 꾸준히 해야 합니다.
6) 폐암과 초미세먼지
서로 밀접한 연관성이 있고, 초미세먼지는 호흡기에 침투해서 폐기능을 저하시키고, 폐암을 유발 할 수 있습니다, 폐암에 걸린 사람들 또한 초미세먼지에 노출될 가능성이 높고, 초미세먼지에 노출된 사람들은 폐암 발병을 증가시킬 수 있습니다. 건강에 매우 해로운 물질이고, 대기오염 개선과 함께 적극적인 대응이 필요한 부분입니다. 코로나가 끝난 이후에도 요즘 갈수록 탁해지는 공기로 인해서 개인적으로 마스크 착용을 유지하고 있는 사람들이 점점 늘어나고 있습니다.
<함께 보면 도움되는 글>
상병수당/지원대상자/신청방법
상병수당이란?? 업무와 관련 없는 질병 또는 부상으로 경제활동의 어려움이 있기 때문에 소득이 불안정해질 수밖에 없습니다. 그래서 건강악화로 이어지는 악순환을 차단하고 빈곤을 사전에 예
ranibb.com
Oh NO! 의료비 지원금 아직도 모르셨어요?
- 큰 병에 걸려서 입원해야 하고, 수술해야 하는데 실손보험도 없고, 준비가 안되어 있는 분들에게 절실이 필요한 재난적 의료비 지원사업을 알려드리려고 합니다. 이 제도의 경우 의료기관에서
ranibb.com