티스토리 뷰
목차

우리 아이 결국 폐렴 진단받으셨나요? 첫 아이 폐렴진단은 더더욱 당황스럽기도 하고, 두려운 순간 일 수밖에 없습니다. 병원치료와 함께 아이를 위해서 도와주어야 하는 부분 알려드리려고 합니다.
◎ 소아폐렴이란?
- 폐포에 염증이 발생해서, 기침, 가래, 흉통, 빈호흡, 발열등의 증상을 보이는 질환입니다. 주로 바이러스나 세균으로 인해 감염이 되지만, 드물게 알레르기 반응으로 인한 폐렴도 발생할 수 있습니다.
◎ 진단이후 해야 할 일
- 이제는 3월부터 마스크 착용 자유가 시작되면서, 어린이집, 유치원, 초등학교에 다니는 아이들이 마스크를 벗고 생활하기 시작하는 동시에 감기와, 폐렴, 기관지염 등으로 병원방문이 늘어나고, 주변에 폐렴진단받은 아이들이 늘어나고 있는 상황입니다. 폐렴은 기침이 심한 경우가 대부분이어서 어린이집은 물론 가정보육을 하거나, 입원할 수밖에 없는 상황이 옵니다. 첫 아이의 경우 4살 되는 시기에 어린이집 첫 등원한 지 한 달쯤 안되어 폐렴 진단을 받고, 어린이집 신고식을 제대로 했던 기억이 있습니다.
- 처음이자 폐렴이 매달 올 줄은 상상도 못 한 채로 입원을 했어요. 입원을 하게 된 경우도 아이들은 밤이면 더 열이 나고, 기침도 엄청 심해지잖아요. 열이 39.9도를 찍으면서, 열성 경련이 오더라고요. 그때 우리 아기 잘못되는 건가 싶은 순간이었어요. 아이 눈이 뒤집어지면서, 몸이 경직되는 증상이 나타났어요, 새벽시간이었지만, 둘째아기도 있어서 구급차 부를 새도 없이 신랑 차로 20분 거리인 대학병원 소아응급실로 비상 깜빡이 켜서 달렸어요. 지금 다시 생각하면, 축 늘어진 아이를 안고 병원까지 가는 길이 너무 무서웠어요 가는 길에 혹시라도 아이가 잘 못될까 봐요. 첫아이인 만큼 겁도 나고, 아무것도 해 줄 수 없는 상황이라, 더 불안했던 것 같아요. 병원도착하면 소아응급실이 따로 있어서, 조용하고, 아기들만 진료받고, 치료받는 곳이라 더 안심은 됐어요. 이렇게 폐렴 진단 후 응급실로 통해서 첫 번째 입원을 하게 된 경우였습니다.
초기 증상으로는 흔한 감기와 비슷하게 기침, 콧물, 미열로 시작합니다. 세균성 폐렴일 경우에는 고열을 동반하기 하고, 나이가 어릴수록 구토증상도 있습니다.
▼ 첫째 아이 폐렴 8번 진단받고, 입원치료와 소아과치료&가정에서 치료한 후기를 알려드립니다. 지극히 개인적인 후기이니, 참고만 해주세요.
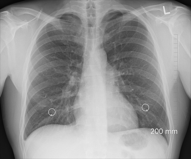
- 소아청소년과에 방문했을 때 의사 선생님이 진찰을 위해서 가슴 쪽에 청진기를 대는 것은 폐소리를 듣기 위함인데요. 일반 감기랑 바이러스성 폐렴인 경우는 폐소리가 다르고, 좋지 않은 소리가 들릴 경우 엑스레이 촬영을 하게 됩니다. 엑스레이 촬영결과는 대부분 찍자마자 바로 확인이 가능합니다. 바로 이런 사진을 보여주시면서 설명을 해주시는데요.

[폐 음영사진을 보면, 한쪽이든, 양쪽이든 폐 쪽이 깨끗하지 않고, 음영된 부분크기에 따라 심한 정도인지를 알려주십니다.]
- 우리 아이 기침소리가 평소에 하던 기침소리와 좀 다르다는 것을 느끼셨다면, 엑스레이 촬영이 가능한 소아과를 방문하는 것을 추천드립니다. 아이마다 차이는 있겠지만, 고열이 나는 상황이라면, 탈수증상이 올 수 있기 때문에 수액을 맞을 수도 있다는 시간을 감안하고 방문하시는 것도 도움이 되겠습니다. (수액은 대략 3시간 정도 소요) 기저귀를 착용하고 있는 아이라면, 여벌 기저귀와 따뜻한 물은 필수입니다. 제 아이의 경우에는 여자이기도 하지만, 고열과 탈수증상으로 걷는 것조차 힘들어해서, 휴대용 변기와 휴대용 소변봉투를 매번 챙겨 다녔습니다.
- 두 번째 폐렴 진단은 병원에서 퇴원후 어린이집에 한달만에 폐렴완치 확인서와 함께 등원하고, 또다시 한달만에 폐렴진단을 받습니다. 두 번째 폐렴도 첫번째 처럼 더 놀랍고, 당황스러웠어요, 분명히 입원해서 치료 받은지 얼마나 됐다고 또 폐렴이라니, 동네 소아과에서 아이 기관지가 약하면 또 걸릴 수 있다는 설명을 듣고, 항생제를 처방받고, 네블라이져 치료를 병행 해야 했습니다. 두번째 엑스레이 촬영하면서, 짧은 기간 동안 아이가 엑스레이 찍는 거마저도 조심스러웠어요. 하지만, 정확한 진단과 치료방법을 위해서는 달리 방법이 없었습니다. 기침소리가 퀭퀭 하다고 표현하는 게 맞는지 모르겠지만, 폐에서 부터 끌어올려 나오는 기침소리처럼 소리가 좋지 않았습니다.
◎ 집에서 관리하기
- 이번 폐렴은 바이러스성이라, 고열은 아니지만, 미열에서 기침만 심한 정도였기에 항생제와 네블라이져 치료를 6시간 간격으로 집에서 하기 시작했습니다. 네블라이져 생소하시겠지만, 어린아이 있는 가정이라면 필수라고 할 정도로 엄마들 사이에서는 가지고 있는 집이 생각보다 많았습니다. 역시 아이가 잠이 들면 기침이 토할 듯이 더 심해지고, 낮에는 아무렇지도 않으니, 엄마입장에서 미칠 노릇이죠. 먹는 거 전혀 먹지 않고, 컨디션이 좋지 않아서 아이들도, 입맛이 없어집니다. 그때 탈 수가 올 수 있기 때문에 항상 따뜻한 보리차를 수시로 먹였어요. 그리고 의사 선생님 꿀팁★엄마손바닥을 계란을 살짝 쥔듯한 손 모양으로, 또는 두꺼바 두꺼바 헌 집 줄게~ 손 모양으로 아이 등을 가볍게 가 아닌 살짝힘을 주어서 자주 두들겨 주어야 합니다. 그래야 폐 안에 쌓여있는 가래들이 내려간다고 말씀해 주셨어요. 이번엔 입원하지 말자는 생각으로 알람을 맞춰두고 1시간에 10~15분씩 등을 계속 쳐주었습니다. 가끔 두들겨주다가, 제대로 시간 맞춰 두들겨주니, 저녁에 잘 때 기침소리가 줄어들었다는 것을 느끼게 됩니다. 너무 세게 하면 아이가 아파할 수 있으니, 우리 아이 트림 시켜주던 때를 생각하시면서 해주시면 됩니다.
- 처방받은 약 끝까지 다 먹이기
- 미지근한 보리차 수시로 먹이기(탈수 증상이 오지 않기 위해서)
- 집안 환기필수(네블라이져 사용 후 입안 헹굼) 어린아이는 거즈로 닦아주셔도 돼요
- 집안 환경점검(건조한지, 실내에 빨래 널기는 피해 주세요) 대부분 실내 건조해서 집안에 빨래 넣어두시는 분들 많으시잖아요, 그런데 이 행동으로 어린아이에게는 폐 손상을 줄 수 있다고 해요. 빨래로 습도가 높아지면서 진드기가 번식하고, 곰팡이나 유해물질이 기준치의 2.7배 검출이 된다고 합니다. 영, 유아나 면역력에 약한 사람은 폐 감염을 유발해서 각별히 주의해야 한다고 합니다.
- 등 자주 두들겨주기.
- 방에서 기침을 많이 한다면, 거실로 데리고 나와서 잠을 재워보세요(여기서 효과를 많이 봤어요, 확실히 기침 횟수도 줄고, 건조하지 않아서 인지 기침을 거의 안 하는 날도 많았어요. 이후에 또 폐렴이다 진단받으면 무조건 거실로 나와서 아이랑 함께 잤습니다)
- 네블라이져 시간 맞춰 꼭 하기. (아침 7시 눈뜨자마자 하고, 12시, 5시, 그리고 자기 전에 한번 하고 재우다가, 새벽에 심하다 싶으면 잠든 아이한테 네블라이져 해주었어요, 대학병원에서도 이렇게 했었거든요. )
아이 기침 많이 나아졌다고, 우리의 판단으로 약 그만 먹이지 마시고, 처방받은 약은 끝까지 먹이고, 의사 선생님이 더 이상 소아과 안 와도 되고, 폐소리 좋다고 말해주실 때까지는 소아과 방문 꼭 하셔야 해요. 지금도 폐렴진단 아이 돌보느라 고생하시는 분들, 너무 걱정하지 마세요. 아이가 아픈 건 누구의 탓도 아니고, 더 건강해지려는 아이의 모습이라고 생각해 주세요. 엄마도 많이 힘들 거라는 거 저 너무 잘 알아요 8번 폐렴으로 4번까지는 저도 폐인처럼 저를 자책했어요. 하지만 아이는 우리가 생각하는 것보다 훨씬 강하다는 거 기억해 주세요. 엄마, 아빠 잘 먹고 기운내야 우리 아이 빨리 낳을 수 있어요.